
Segundos são preciosos na hora de prestar socorro a um paciente que sofre um acidente vascular cerebral (AVC), popularmente conhecido como derrame. Tecnologia que acaba de entrar em uso pelo Hospital Moinhos de Vento (HMV), em Porto Alegre, um software que faz uma leitura precisa de imagens do cérebro torna as intervenções mais seguras, precisas e eficazes, duplicando e até triplicando o tempo hábil de ação dos médicos.
O e-STROKE Suite aponta, nas imagens resultantes das tomografias a que os pacientes são submetidos, onde ocorreu o entupimento de vaso sanguíneo e as áreas que ainda podem ou não ser salvas, conforme o tempo decorrido desde o início da manifestação dos sintomas. A instituição da Capital é a primeira da América Latina a adquirir o programa, aplicável principalmente a casos de AVC do tipo isquêmico.
Baseado na análise das imagens coloridas dos exames, mostradas na tela do celular, o especialista decide como será a intervenção, capaz de definir o futuro entre a presença ou a ausência de sequelas – além da dimensão do impacto delas – e, inclusive, entre a vida e a morte.
– A cada minuto que passa, 2 milhões de neurônios morrem. É uma quantidade absurda. Cada minuto conta – comenta a neurologista Sheila Martins, chefe do Serviço de Neurologia e Neurocirurgia do Moinhos de Vento e vice-presidente da Organização Mundial de AVC.
O novo sistema está em operação desde dezembro. Até então, a avaliação das "fotografias" cerebrais era realizada da forma tradicional, a olho nu. Uma observação por vezes difícil – e mais demorada – de sutis gradações de cinza, muito dependente da experiência do médico encarregado de cada caso. Com o passar das horas desde a ocorrência do AVC, as partes em cinza vão ficando cada vez mais escuras, significando também que a situação está se complicando e se tornando irreversível. Ou seja, o médico perdia tempo até conseguir enxergar com clareza o que estava acontecendo e também corria o risco de intervir em uma área onde o dano já era definitivo, podendo inclusive provocar um sangramento fatal no paciente.
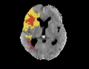
Com a interpretação do software, tudo ficou mais nítido. A cor vermelha representa a porção do órgão que já "morreu" devido à obstrução provocada pelo coágulo, e o amarelo, as zonas em sofrimento, que podem ser salvas se a circulação for restabelecida logo. Agora, mesmo profissionais com pouca experiência estão habilitados a operar o e-STROKE.
Pacientes que chegavam 20 ou 24 horas depois (do início dos sintomas) já eram dados como perdidos. Agora são muitos mais os que conseguimos tratar. É o que vem fazendo toda a diferença no mundo.
SHEILA MARTINS
Neurologista
Até quatro horas e meias depois da ocorrência do AVC, de acordo com as condutas regulares, é possível recorrer à trombólise endovenosa, que é a aplicação, na veia, de um medicamento que chega ao local do entupimento e tenta dissolver o coágulo. Com o auxílio do e-STROKE, esse tempo duplica, passando a ser de nove horas. Antes, em até oito horas, podia-se utilizar a trombectomia, espécie de cateterismo, procedimento semelhante ao utilizado na área da cardiologia. Em situação de AVC, faz-se uma incisão na virilha que vai até o cérebro, onde ocorre a desobstrução do vaso. Mais um benefício do e-STROKE: esse tempo foi multiplicado por três. Doentes elegíveis, daqui por diante, podem se submeter a uma trombectomia em até 24 horas após o início dos sintomas.
– Pacientes que chegavam 20 ou 24 horas depois já eram dados como perdidos. Agora são muitos mais os que conseguimos tratar. É o que vem fazendo toda a diferença no mundo – destaca Sheila.
Derrames ocorridos durante o sono, que representam cerca de 20% do total, são considerados dos casos mais difíceis de serem tratados, dada a impossibilidade de se precisar o horário. O paciente estava bem ao ir para a cama na véspera, por exemplo, e, ao acordar, é encontrado paralisado e sem conseguir falar. Quando chega ao hospital, o familiar não sabe informar desde quando ele está com os movimentos e os sentidos alterados. Tratar esse paciente sem se ter ideia da hora em que o AVC lhe acometeu aumentava muito o risco de uma hemorragia no crânio. Essa dificuldade também é driblada pelo software, que mostra com clareza as zonas comprometidas, direcionando a conduta médica.
O paciente com suspeita de AVC tem prioridade no atendimento. A recomendação é que, diante de um ou mais sinais de alerta – paralisia total ou parcial dos membros, impossibilidade de falar ou compreender o que é dito, dificuldade para enxergar, dor de cabeça súbita e forte, entre outros –, o familiar ou outro responsável acione o Serviço de Atendimento Móvel de Urgência (Samu) ou transporte a pessoa até um centro habilitado a tratar desse tipo de caso. No caminho, os socorristas já avisam que tipo de caso está a caminho. Se o paciente não for levado em ambulância, o acompanhante precisa alertar os atendentes, de imediato, que o caso pode ser grave.
O que é o acidente vascular cerebral
Popularmente conhecido como derrame, o acidente vascular cerebral (AVC) é o termo médico para descrever o surgimento súbito de um déficit neurológico provocado por um problema nos vasos sanguíneos do sistema nervoso central. Há dois tipos de AVC:
- AVC isquêmico: é o mais comum, correspondendo a cerca de 85% dos casos. Ocorre quando há a obstrução ou redução brusca do fluxo sanguíneo em uma artéria do cérebro, provocando falta de circulação. Entre as causas, pode estar o aparecimento gradual de material viscoso e gorduroso nas paredes dos vasos ou o deslocamento de um coágulo de sangue formado em algum lugar do corpo _ ele se solta e flutua até os vasos cerebrais, onde provoca a obstrução da circulação.
- AVC hemorrágico: causado pela ruptura espontânea (não traumática) de um vaso. O sangue extravasa para o interior do cérebro ou para o espaço ao redor.
Como funciona o e-Stroke Suite

– O software, o mais moderno em utilização no mundo, avalia exames de imagem do cérebro, como tomografia, angiotomografia e perfusão por tomografia, em casos de AVC isquêmico, principalmente.
O sistema é capaz de colorir as regiões do cérebro que foram comprometidas em decorrência do entupimento do vaso sanguíneo. Antes, eram observadas apenas gradações de cinza. O ponto exato onde ocorreu o AVC também é mostrado.
Em vermelho, aparecem as regiões já "mortas" pela falta de circulação sanguínea, o que resultará em sequelas. Em amarelo, visualizam-se aquelas que ainda estão em sofrimento e podem ser salvas. À medida em que o tempo vai passando, as zonas em amarelo vão morrendo também. O novo programa de computador dá mais agilidade aos médicos, que podem iniciar o tratamento antes e com mais precisão, evitando incapacitações permanentes e até a morte do paciente. A depender do caso, se as condutas são iniciadas com rapidez, o doente pode se recuperar plenamente.
Fatores de risco para AVC
- Idade superior a 60 anos
- Hipertensão
- Tabagismo
- Alterações do colesterol
- Diabetes
- Fibrilação atrial (arritmia cardíaca)
- Sedentarismo
- Obesidade
- Má alimentação
- Abuso de álcool
Sintomas
O paciente pode apresentar um vários dos seguintes sinais:
- Paralisia total ou parcial dos membros (face, braço, mão, perna), geralmente em um lado do corpo
- Alterações de sensibilidade no corpo
- Impossibilidade de falar ou compreender o que é dito
- Dificuldade para enxergar (em um olho, nos dois olho ou em metade de um olho)
- Dor de cabeça súbita e forte
- Tontura e perda de equilíbrio
O que fazer
- Diante da constatação dos sintomas, é imprescindível ligar imediatamente para o Serviço de Atendimento Móvel de Urgência (Samu, pelo telefone 192). Os profissionais levarão o paciente até um hospital que disponha de um centro de atendimento de AVC.
- Caso uma ambulância não esteja disponível, um familiar ou outra pessoa deve transportar o paciente, informando, assim que chegar, que se trata de um caso suspeito de AVC. O atendimento deverá ser prioritário.
Números
- 17 milhões de casos de AVC são registrado ao ano no mundo.
- 6,5 milhões de pessoas morrem em decorrência de derrames em todo o planeta. Apenas no Brasil, são mais de 100 mil mortes anuais.
- Trata-se da segunda causa de morte mais comum, atrás apenas do infarto.
- No Brasil, AVC foi a primeira causa de óbito por mais de 30 anos. A partir de 2011, em consequência da organização dos hospitais e do melhor atendimento aos pacientes, passou para o segundo lugar.
Fontes: Rede Brasil AVC e neurologista Sheila Martins



